WHAT'S NEW
8 SLICE CT SCANNER
Facility available now, for the First Time in Kishangarh.
ABOUT US
Advance Diagnostic Centre has established itself as a centre of excellence in diagnostic services by consistently adopting advanced medical technologies, inducting skilled professionals, and maintaining high standards of accuracy and patient care.
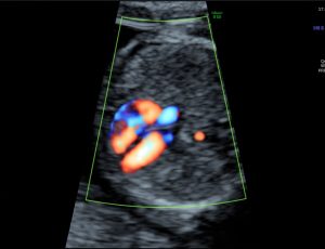
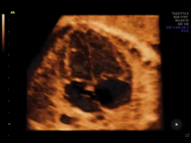
We were the first centre in Kishangarh to introduce Fetal Echocardiography, Infant and Adult Echocardiography under one roof for early diagnosis of heart defects and cardiac abnormalities. Our centre is equipped with state-of-the-art ultrasound systems, including 3D and 4D ultrasound imaging, enabling precise fetal and organ assessments.
Advance Diagnostic Centre is also the first and only centre in Kishangarh equipped with an 8 Slice CT Scanner, capable of performing advanced procedures including CT Angiography. This allows us to deliver high-quality imaging with speed, safety, and accuracy.
Over the years, we have successfully developed into a comprehensive diagnostic facility by continuously upgrading our technology and medical expertise, keeping pace with advancements in medical science.
Our team of experienced doctors and technicians ensures quality at every stage — from testing to reporting. Patient-friendly services combined with reliable and accurate diagnostics remain the core motto of our organization.
Advance Diagnostic Centre is committed to follow good professional practice and patient friendly services with the sole aim of ensuring proper diagnosis and timely patient care.
We continuously strive to improve the quality of our service by complying with International Standards and fulfilling our set objectives.
OUR STATS
Dr. Akshay Kumar Meena
M.B.BS & M.D. Radio-diagnosis
Consultant Radiologist
Reg No. 31688/14919
Dr. Subhash Sharma
M.B.BS & M.D. Radio-diagnosis
Consultant Radiologist
Reg. No. 40510/22355
Dr. Naresh Kumar
M.B.BS & M.D. Radio-diagnosis
Consultant Radiologist
Reg No. 38657/26598
SERVICES
- CT SCAN
- Triple phase CT abdomen
- CT Urography
- HRCT chest
- CT Brain
- Angiography
- All other types of CT scan
- ULTRASOUND
- 2d Echo heart
- All types of USG & Colour Doppler
- Pregnancy Scan
- Fetal Echocardiography
- 11 to 13 Weeks Scan (NT & NB scan)
- 3D/4D/Level 2 Scan
- Trans Vaginal Sonography
- TRUS Prostate Ultrasound
- Musculoskeletal (Bones and Joints) Ultrasound
- OTHER SERVICES
- Digital X-rays
- Special X-rays
- Barium Swallow
- Barium Meal
- Dental X ray (OPG)
- Pathological Lab Testing
- ECG
16 SLICE HIGH RESOLUTION CT SCAN
Voluson S8 Touch Ultrasound with World Class Image Quality
Pathology Lab
Digital X-Ray
Tele Radiology Facility
Digital E.C.G.
Digital IVP & Barium studies
OUR CENTRES
ADVANCE DIAGNOSTIC KISHANGARH
( Main Branch )
-
Address
Opposite Yagya Narayan Hospital, City Road, Kishangarh(305801), Dist. Ajmer, Rajasthan -
Timings
Monday to Saturday : 9.00AM - 8.00PM
Sunday 9.00AM - 3.00PM -
Phone
01463 294544, 90010 09959 -
WhatsApp
90010 09959 -
Email
advancediagnostic2@gmail.com
ADVANCE DIAGNOSTIC BIJAINAGAR
-
Address
Opposite Government Hospital, Patwar Ghar ki Gali, Bijainagar (305624), Dist. Beawar, Rajasthan -
Timings
Monday to Saturday : 9.00AM - 8.00PM
Sunday 9.00AM - 3.00PM -
Phone
73000 03295 -
WhatsApp
73000 03295 -
Email
advancediagnostic2@gmail.com
ADVANCE DIAGNOSTIC NIMBAHERA
-
Address
Opposite Govt. Hospital, Near Kotak Bank, Udaipur Road, Nimbahera, Rajasthan -
Timings
Monday to Saturday : 9.00AM - 8.00PM
Sunday 9.00AM - 3.00PM -
Phone
95098 00234 -
WhatsApp
95098 00234 -
Email
advancenimba@gmail.com
ADVANCE DIAGNOSTIC
DIDWANA
-
Address
In Front of Govt. Bangur District Hospital, Didwana, Rajasthan -
Timings
Monday to Saturday : 9.00AM - 8.00PM
Sunday 9.00AM - 3.00PM -
Phone
91669 22234 -
WhatsApp
91669 22234 -
Email
advancedeedwana@gmail.com



















